
目次
歯磨きのとき、歯ぐきから血が出たことはありませんか?
「痛くないから大丈夫」と思って放置していると、気づいたときには歯を支える骨が溶けてしまい、最終的に歯を失うことになるかもしれません。歯周病は、日本人が歯を失う最大の原因とされています。
実は、歯周病の最も怖いところは「自覚症状がほとんどないまま進行する」という点です。痛みがないために気づきにくく、気づいたときにはすでに進行しているケースが多いのです。
この記事では、歯周病の初期サインから早期発見のためのチェック方法、そして効果的な予防対策まで、歯周病から大切な歯を守るための重要な情報を詳しくお伝えします。
歯周病とは?痛みがないまま進行する怖い病気

歯周病は、歯と歯ぐきの間に細菌が入り込み、歯ぐきや歯を支える骨を徐々に破壊していく感染性の病気です。
歯の表面には「プラーク(歯垢)」と呼ばれる細菌の塊が付着します。このプラークの中には、1mg あたり1億個を超える細菌が存在しており、その中には歯周病の原因となる悪玉菌も含まれています。
プラークが歯と歯ぐきの境目に溜まると、歯ぐきに炎症が起こり、「歯周ポケット」と呼ばれる溝ができます。この溝が深くなるにつれて、細菌はさらに奥へと侵入し、最終的には歯を支える骨(歯槽骨)まで溶かしてしまうのです。
なぜ痛みがないのに進行するのか
歯周病が「サイレントディジーズ(静かな病気)」と呼ばれる理由は、初期段階では痛みがほとんどないためです。
虫歯のように急激な痛みが出ないため、多くの方が「少し血が出るけど、痛くないから大丈夫」と考えてしまいます。しかし、その間にも細菌は着実に歯ぐきの奥深くへと侵入し、骨を溶かし続けているのです。
痛みを感じるころには、すでに歯周病がかなり進行しており、歯がグラグラと揺れ始めている状態になっていることも少なくありません。
日本人の多くが歯周病に罹患している現実
日本では、40歳以上の約8割が歯周病に罹患していると言われています。
年齢が上がるにつれて罹患率は高くなり、歯を失う原因の第1位が歯周病となっています。つまり、多くの日本人にとって、歯周病は決して他人事ではない身近な病気なのです。
見逃しやすい歯周病の初期サイン
歯周病の早期発見には、日常生活の中で現れる小さなサインに気づくことが重要です。
以下のような症状がひとつでも当てはまる場合は、歯周病の可能性があります。
歯磨き時の出血
歯磨きをしたときに歯ぐきから血が出るのは、歯周病の最も代表的な初期サインです。
健康な歯ぐきであれば、通常の歯磨きで出血することはありません。出血は、歯ぐきに炎症が起きている証拠であり、プラークの中の細菌が歯ぐきを攻撃している状態を示しています。
「少しの出血だから大丈夫」と思わず、早めに歯科医院を受診することをおすすめします。
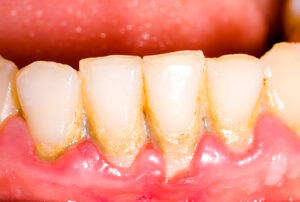
歯ぐきの腫れや赤み
健康な歯ぐきは、淡いピンク色で引き締まっています。
しかし、歯周病になると歯ぐきが赤く腫れ、ぶよぶよとした感触になります。鏡で自分の歯ぐきをチェックしてみて、赤みや腫れが見られる場合は注意が必要です。
口臭が気になる
歯周病が進行すると、独特の口臭が発生します。
これは、歯周ポケットの中で細菌が繁殖し、揮発性硫黄化合物と呼ばれる臭いの原因物質を産生するためです。自分では気づきにくいこともありますが、家族や周囲の人から指摘されたら要注意です。
歯ぐきが下がってきた
歯周病が進行すると、歯ぐきが徐々に下がり、歯が長く見えるようになります。
これは、歯を支える骨が溶けることで歯ぐきも一緒に下がってしまうためです。「最近、歯が長くなった気がする」と感じたら、歯周病が進行している可能性があります。
歯がグラグラする
歯周病がかなり進行すると、歯を支える骨が大きく失われ、歯がグラグラと揺れるようになります。
この段階まで来ると、治療が難しくなり、最悪の場合は抜歯が必要になることもあります。歯の揺れを感じたら、すぐに歯科医院を受診してください。
歯周病の早期発見のためのセルフチェック方法

自宅で簡単にできるセルフチェックで、歯周病のリスクを確認できます。
以下の項目をチェックしてみてください。
歯ぐきのチェックポイント
- 歯磨きをすると歯ぐきから血が出る
- 歯ぐきが赤く腫れている
- 歯ぐきを押すとぶよぶよしている
- 歯と歯ぐきの境目に歯垢が溜まっている
- 歯ぐきが下がって歯が長く見える
口の中の状態チェック
- 口臭が気になる(または指摘されたことがある)
- 口の中がネバネバする
- 歯と歯の間に食べ物が挟まりやすい
- 歯がグラグラする
- 硬いものが噛みにくい
これらの項目に1つでも当てはまる場合は、歯周病の可能性があります。早めに歯科医院で検査を受けることをおすすめします。
歯科医院での歯周病検査
歯科医院では、より正確に歯周病の状態を診断するための検査を行います。
歯周ポケット検査
歯周病の進行度を測る最も基本的な検査が、歯周ポケットの深さを測定する検査です。
「プローブ」と呼ばれる目盛りのついた細い器具を歯と歯ぐきの間に差し込み、ポケットの深さを測ります。健康な歯ぐきでは1〜2mm程度ですが、歯周病が進行すると3mm以上になります。
4mm以上になると中等度の歯周病、6mm以上になると重度の歯周病と判断されることが多いです。
出血検査
歯周ポケットを測定する際に、出血があるかどうかもチェックします。
出血がある場合は、歯ぐきに炎症が起きている証拠です。炎症の程度を把握することで、治療の必要性や緊急度を判断します。
レントゲン検査
歯を支える骨(歯槽骨)の状態を確認するために、レントゲン撮影を行います。
歯周病が進行すると骨が溶けていくため、レントゲン画像で骨の量や形を確認することで、歯周病の進行度を正確に把握できます。
プラーク付着状況の確認
歯の表面にどれくらいプラークが付着しているかを確認します。
プラークの付着量が多いほど、歯周病のリスクが高くなります。また、磨き残しの傾向を把握することで、効果的なブラッシング指導につなげることができます。
歯周病の治療方法

歯周病の治療は、進行度に応じて段階的に行われます。
歯周基本治療
軽度から中等度の歯周病に対しては、「歯周基本治療」が行われます。
ブラッシング指導では、正しい歯磨きの方法を学びます。自分では磨けているつもりでも、実際には磨き残しがあることが多いため、歯科衛生士が一人ひとりの磨き方のクセを見つけ、効果的な磨き方を指導します。
スケーリングは、歯の表面や歯周ポケット内に付着した歯石を専用の器具で除去する処置です。歯石は歯ブラシでは取り除けないため、定期的に歯科医院で除去する必要があります。
ルートプレーニングは、歯の根の表面を滑らかにする処置です。歯周病が進行すると、歯の根の表面がザラザラになり、細菌が付着しやすくなります。この表面を滑らかにすることで、プラークの再付着を防ぎます。
PMTC(専門的機械的歯面清掃)は、歯科医師や歯科衛生士が専用の機械を使って歯を徹底的にクリーニングする処置です。日常の歯磨きでは落としきれない汚れを除去し、歯周病の予防と改善を図ります。
歯周外科治療
基本治療で改善が見られない場合や、歯周ポケットが深い場合には、外科的な治療が必要になることがあります。
フラップ手術は、歯ぐきを切開して歯の根を露出させ、深い部分の歯石や感染組織を直接除去する手術です。これにより、歯周ポケットを浅くし、清掃しやすい環境を作ります。
再生療法
歯周病によって失われた骨を回復させるための治療法もあります。
特殊な材料を使用して、骨の再生を促す治療です。「抜歯しかない」と言われた歯でも、この治療によって保存できる可能性があります。
歯周病を予防するための日常ケア
歯周病の予防には、毎日のセルフケアが最も重要です。
正しい歯磨きの方法
歯周病予防の基本は、正しい歯磨きです。
歯ブラシは、毛先が細く柔らかいものを選びましょう。歯と歯ぐきの境目に45度の角度で当て、小刻みに動かして磨きます。力を入れすぎず、優しく丁寧に磨くことがポイントです。
1本1本の歯を意識して、1日2回、1回あたり3分以上かけて磨くことが理想的です。
デンタルフロスや歯間ブラシの活用
歯ブラシだけでは、歯と歯の間の汚れを完全に取り除くことはできません。
デンタルフロスや歯間ブラシを使って、歯と歯の間もしっかりと清掃しましょう。特に歯周病のリスクが高い方は、毎日の使用をおすすめします。
定期的な歯科検診とクリーニング
どんなに丁寧に歯磨きをしても、完全にプラークを除去することは難しいです。
3〜6ヶ月に1回は歯科医院で検診を受け、プロフェッショナルクリーニングを受けることで、歯周病の予防と早期発見につながります。
生活習慣の改善
歯周病のリスクを高める生活習慣を見直すことも大切です。
喫煙は歯周病のリスクを大幅に高めるため、禁煙をおすすめします。また、バランスの取れた食事、十分な睡眠、ストレス管理なども、歯周病予防に効果的です。
糖尿病などの全身疾患がある方は、その治療もしっかりと行うことが重要です。
歯周病と全身の健康との関係
歯周病は、単なる「お口の病気」ではありません。
近年の研究により、歯周病が全身のさまざまな疾患と関連していることが明らかになっています。
糖尿病との相互関係
歯周病と糖尿病は、互いに悪影響を及ぼし合う関係にあります。
糖尿病の方は歯周病になりやすく、また歯周病があると血糖コントロールが悪化しやすくなります。歯周病の治療を行うことで、血糖値の改善が期待できることも報告されています。
心臓病や脳梗塞のリスク
歯周病菌が血流に乗って全身を巡ると、動脈硬化を促進し、心筋梗塞や脳梗塞のリスクを高める可能性があります。
歯周病の予防と治療は、心血管疾患の予防にもつながると考えられています。
誤嚥性肺炎との関連
高齢者に多い誤嚥性肺炎は、口の中の細菌が誤って気管に入ることで起こります。
歯周病があると口の中の細菌が増えるため、誤嚥性肺炎のリスクが高まります。口腔ケアをしっかり行うことで、誤嚥性肺炎の予防につながります。
早産や低体重児出産のリスク
妊娠中の女性が歯周病にかかっていると、早産や低体重児出産のリスクが高まることが報告されています。
妊娠を計画している方や妊娠中の方は、歯周病の検査と治療を受けることをおすすめします。
あおぞら歯科おとなこども矯正歯科の歯周病治療
長野市で歯周病治療をお考えの方には、あおぞら歯科おとなこども矯正歯科をおすすめします。
精密な検査と見える化による診断
当院では、歯周ポケットの深さ、出血の有無、歯の動揺度、プラーク付着状況の確認に加え、レントゲン撮影で歯槽骨の状態まで丁寧に評価します。
症状だけで判断せず、客観的データをもとに治療計画を立案するため、患者様ご自身が「なぜ今治療が必要なのか」を理解した上で治療を受けていただけます。
なるべく歯を抜かない治療方針
当院では、「なるべく歯を残す」という考え方を大切にしています。
すぐに抜歯を勧めるのではなく、まずは歯石除去やブラッシング指導などの基本治療をしっかり行い、改善を目指します。軽度から中等度の歯周病であれば、基本治療のみで改善が期待できるケースも多くあります。
重度歯周病にも対応
基本治療で改善が不十分な場合には、フラップ手術などの歯周外科治療を実施します。
さらに、失われた骨の回復を目指す再生療法にも対応しており、「抜歯しかない」と言われた歯でも保存できる可能性を探ります。
治療後のメインテナンス体制
歯周病は再発しやすい疾患です。
当院では、治療終了後も定期的な検査とPMTCを継続し、再発防止を徹底しています。数ヶ月ごとのメインテナンスで健康な状態を維持し、長期的に歯を守るサポートを行います。
通いやすい環境
当院は、長野市立更北中学校から徒歩3分、長野南バイパス沿いに位置し、長野駅から車で約10分とアクセスも良好です。
土曜診療も実施しており(9:00〜17:40)、駐車場も完備されているため、幅広い年代の方が通いやすい環境が整っています。
まとめ
歯周病は、痛みがないまま進行する怖い病気です。
しかし、早期に発見し適切な治療を受ければ、進行を止めることができます。歯磨き時の出血、歯ぐきの腫れ、口臭など、小さなサインを見逃さず、定期的に歯科検診を受けることが大切です。
歯周病は、歯を失うだけでなく、全身の健康にも影響を及ぼします。糖尿病、心臓病、脳梗塞、誤嚥性肺炎など、さまざまな疾患との関連が指摘されており、口腔ケアは全身の健康管理の一部と言えます。
毎日の正しい歯磨き、デンタルフロスや歯間ブラシの使用、定期的な歯科検診とクリーニング、そして生活習慣の改善が、歯周病予防の基本です。
もし歯ぐきの腫れや出血が気になる方は、早めに歯科医院を受診してください。早期発見・早期治療が、将来の歯の本数を守る鍵になります。
長野市で歯周病治療をお考えの方は、ぜひあおぞら歯科おとなこども矯正歯科にご相談ください。精密な検査と、なるべく歯を抜かない治療方針で、あなたの大切な歯を守るお手伝いをいたします。



